当前位置:首页 > 研究领域 > 神经系统
脑电刺激(DBS)可以有效治疗耐药神经和精神疾病,但其机制尚不清楚。近期吉林大学第一医院张颖团队联合美国国立卫生研究院崔国红团队在Nature Neuroscience (IF 20.0)上发表文章“Differential synaptic depression mediates the therapeutic effect of deep brain stimulation”,发现DBS通过不同程度地抑制谷氨酸能和γ-氨基丁酸能输入来抑制STN神经元,从而使STN的局部E/I比率向抑制方向移动,这是DBS疗效的关键机制,“化学遗传学DBS”技术,可能为PD及其他神经系统疾病提供比电刺激DBS更微创且更经济的替代方案。
| 病毒产品 | AAV9-hSyn-iGABASnFR,6.3×1013 GC/ml;AAV9-hSyn-SFVenus-iGluSnFR-A184S,4.2×1013 GC/ml |
|---|---|
| 实验动物 | Vglut2-cre小鼠 |
| 注射方式 | 立体定位注射 |
| 注射部位 | STN |
作者发现DBS期间,STN神经元在短暂激活后会持续受到抑制,且轴突末梢的活动同样受到抑制。作者进一步研究了DBS对传入末梢活动和局部神经递质释放的影响,发现谷氨酸能和γ-氨基丁酸能轴突末梢在DBS期间强劲激活,DBS导致局部神经递质释放减少,其中谷氨酸的减少幅度大于γ-氨基丁酸,从而使兴奋/抑制平衡向抑制方向倾斜。接下来作者探究了上述改变是否同样存在与帕金森病小鼠中,使用6-OHDA建立PD小鼠模型并重复了上述实验,并在PD小鼠中观察到与正常小鼠相同的DBS诱导效应:即影响STN神经元、传入末梢、以及谷氨酸和γ-氨基丁酸水平,表明DBS诱导的行为效应机制与疾病状态无关。因此作者提出假设:DBS会持续激活支配丘脑下核神经元的传入纤维,导致神经递质释放减少,其中谷氨酸释放的减少幅度大于γ-氨基丁酸,导致局部兴奋/抑制比值向抑制方向的转变,最终抑制了丘脑下核神经元的活动,并且DBS可能通过抑制PD诱导的STN神经元活动发挥治疗作用。
为了进一步证实介导DBS治疗效果的是神经元抑制而不是兴奋,作者比较了化学遗传抑制或兴奋STN对帕金森病小鼠行为的影响。在注射6-OHDA前和6-OHDA后进行旋转测试,发现在注射6-OHDA之前,CNO处理并未诱导对照组的小鼠发生自发旋转,但在化学遗传学抑制组小鼠中,CNO给药导致小鼠出现向对侧的旋转偏向,在化学遗传学激活组小鼠中,CNO处理导致小鼠出现同侧旋转偏差。6-OHDA损伤后,所有小鼠均表现出自发的同侧旋转,且对照组中CNO给药并未缓解。在化学遗传学抑制组小鼠,CNO完全挽救了缺陷并恢复了平衡旋转。在化学遗传学激活组小鼠中,CNO治疗进一步加剧了症状并导致更偏向的同侧旋转。这些结果证实,对海马神经元的抑制而不是兴奋可以治疗PD症状,这启发作者进一步探索“化学遗传DBS”--即使用化学遗传学方式对神经元进行化抑制--是否可以成为晚期PD的有效治疗方法。
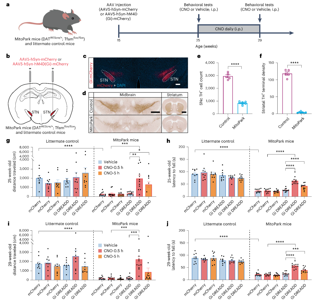
为了进一步评估“化学遗传DBS”在类似于人类患者中的治疗功效,作者将AAV5-hSyn-hM4D(Gi)-mCherry或AAV5-hSyn-mCherry注射到MitoPark小鼠(PD模型小鼠)和对照小鼠STN,并进行旷场实验和转棒测试。发现MitoPark小鼠表现出严重的运动缺陷,在露天试验中运动活动减少,在旋转棒试验中保持平衡的能力较差,类似于在晚期PD患者中观察到的症状。单CNO给药完全挽救了AAV5-hSyn-hM4D(Gi)-MitoPark小鼠在开放场和旋转棒试验中的缺陷。接下来,作者评估长期治疗后“化学遗传学DBS”治疗效果的潜在脱敏作用,发现4周的慢性CNO每日治疗不会导致其治疗效果脱敏。最后,作者直接比较了“化学遗传学DBS”和电刺激DBS之间的治疗效果,结果表明,这种“化学遗传DBS”治疗可以等于或比电刺激DBS治疗更有效。
本研究表明STN DBS通过不同程度地抑制谷氨酸能和γ-氨基丁酸能输入来抑制STN神经元,从而使STN的局部E/I比率向抑制方向移动。“化学遗传DBS”,即突触后神经元的化学遗传抑制,可以发挥电DBS的治疗效果,是一种有前途的化学遗传疗法。对晚期PD或其他难治性神经精神疾病的患者来说,化学遗传DBS疗法创伤更小,更实惠。
备案号:鲁ICP备13011878号 网址:www.wzbio.com.cn





