当前位置:首页 > 研究领域 > 消化系统
结直肠癌(CRC)是全球第三大常见癌症,尽管免疫疗法的进步给癌症治疗带来了革命性变化,但其在CRC中的有效性仍然有限。已有研究表明APC驱动的多克隆性显著增强了致瘤潜力,但APC突变在介导免疫逃避中的作用仍知之甚少。近期南方医科大学周伟杰团队在Cell Research (IF 25.9)上发表文章“Targeting PTPN13 with 11-amino-acid peptides of C-terminal APC prevents immune evasion of colorectal cancer”,揭示了一种以前未知的APC/PTPN13/STAT1依赖的肿瘤免疫抑制机制。
| 病毒产品 |
Ad-Cre、Ad-GFP |
|---|---|
| 实验细胞 | Apcfl/fl /LSL-KrasG12D/p53fl/fl小鼠肠道类器官 |
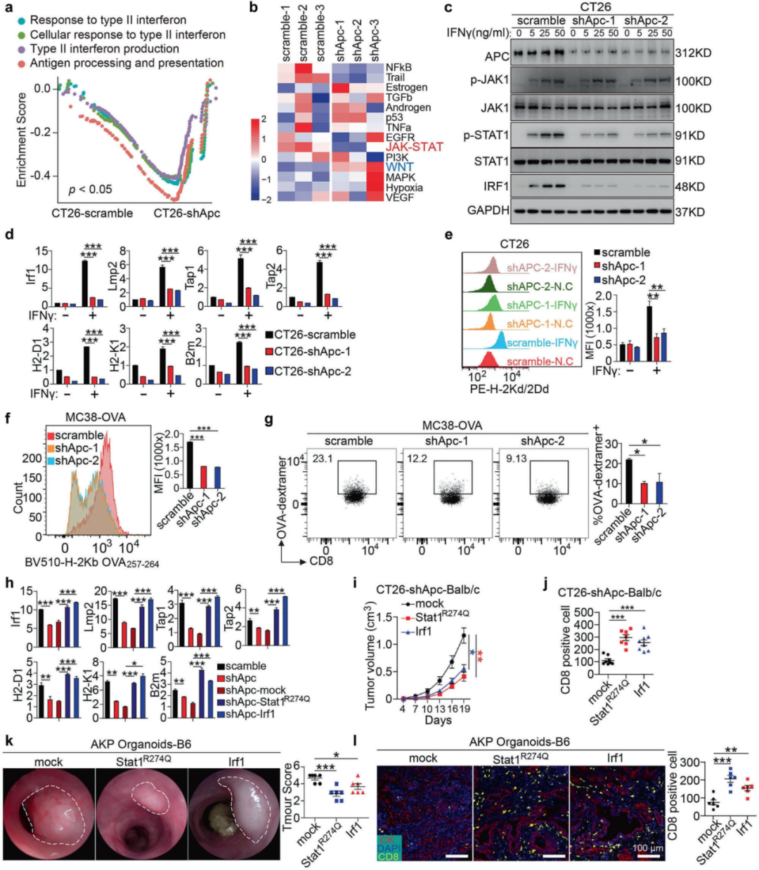
作者发现APC缺失损害CD8+T细胞浸润诱导CRC的免疫逃避,提高CRC模型对免疫检查点封锁的抵抗力,且PTPN13介导APC缺失驱动的CRC免疫逃避。作者通过RNA-seq研究了CRC中APC缺失诱导的免疫逃避所涉及的信号通路,发现APC敲低与II型干扰素和JAK-STAT信号通路反应的抑制有关,Apc敲低显著降低了IFNγ诱导的STAT1磷酸化和IRF1上调,而JAK1磷酸化保持不受影响,表明APC在该通路中在JAK1下游和STAT1上游发挥作用。作者还探究了APC缺失对抗原呈递和CD8+T细胞功能的影响,发现Apc敲低后抗原呈递受损,抗原特异性CD8+T细胞显著减少。机制研究发现Stat1R274Q和Irf1的过度表达显著抑制WT Balb/c小鼠皮下移植的CT26-shApc细胞的生长,并增强CD8+T细胞浸润,这些结果表明,APC丢失通过抑制STAT1/IRF1信号传导促进免疫逃避,而恢复该通路可有效抵消肿瘤免疫抵抗。
已有研究表明PTPN13参与了STAT家族成员的去磷酸化,作者通过免疫共沉淀确认STAT1–PTPN13存在相互作用,并证实STAT1直接结合到PTPN13的PDZ2a结构域。体外PTPase测定表明STAT1是PTPN13的直接底物,PTPN13使STAT1去磷酸化。免疫共沉淀还表明APC-PTPN13存在相互作用,并且IFNγ刺激增强了该复合物的形成,因此作者假设APC阻断STAT1-PTPN13相互作用,这一观点在Apc敲除细胞中增强的PTPN13-STAT1相互作用所证实。进一步研究发现APC的C端缬氨酸对于其与PTPN13的相互作用至关重要,并且这种相互作用对于调节CRC的免疫逃避至关重要。
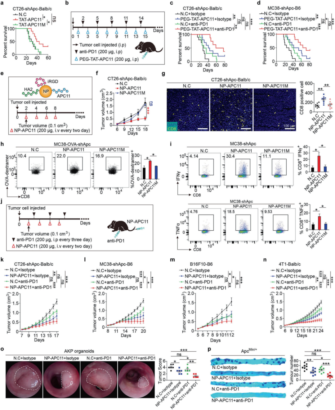
作者发现APC11(APC的C端最后11个氨基酸)有效阻断PTPN13/STAT1相互作用,恢复APC缺失引起的IFNγ-STAT1-IRF1-MHC-I抗原呈递途径失活。TAT缀合APC11肽(TAT-APC11)治疗显着提高了肿瘤小鼠的生存率。为了提高溶解度和稳定性,作者将TAT-APC11与PEG缀合,评估了PEG-TAT-APC11的治疗潜力,发现在肿瘤小鼠模型中,抗PD1单一疗法并未提高生存率,而PEGTAT-APC11则延长了生存率。PEG-TAT-APC11和抗PD1的组合进一步改善了生存结果。为了进一步优化肿瘤靶向,作者开发了基于APC11的纳米颗粒(NP-APC11)并与肿瘤穿透肽iRGD34缀合以提高选择性,发现NP-APC11显著抑制肿瘤生长并增加CD8+T细胞浸润。作者还评估了NP-APC11与抗PD1联合治疗肿瘤的疗效,发现NP-APC11显著抑制肿瘤生长,NP-APC11与抗PD1联合治疗比抗PD1单一疗法具有更有效的治疗效果。这些结果证明了APC11单独或与抗PD1组合作为治疗APC缺陷的CRC的有效治疗策略的潜力。
本研究发现PTPN13是APC驱动的免疫逃避的关键介质,在机制上APC直接与PTPN13相互作用,阻断其与STAT1的相互作用,进而抑制肿瘤进展。APC11可以有效阻断PTPN13-STAT1相互作用,恢复STAT1磷酸化并重新激活针对肿瘤的免疫反应,APC11与抗PD1疗法结合时,观察到更好的肿瘤抑制效果,这为开发CRC患者抗肿瘤药物提供了新的思路。
备案号:鲁ICP备13011878号 网址:www.wzbio.com.cn





